Transforming Smiles with Precision
A curated gallery of real patient transformations, reflecting advanced orthodontic techniques and results-driven care.
Transforming Smiles with Precision


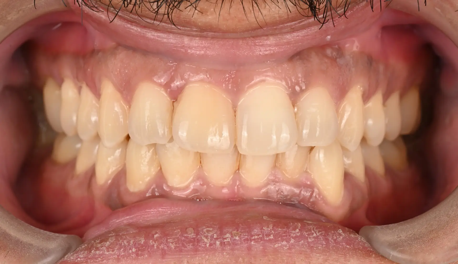
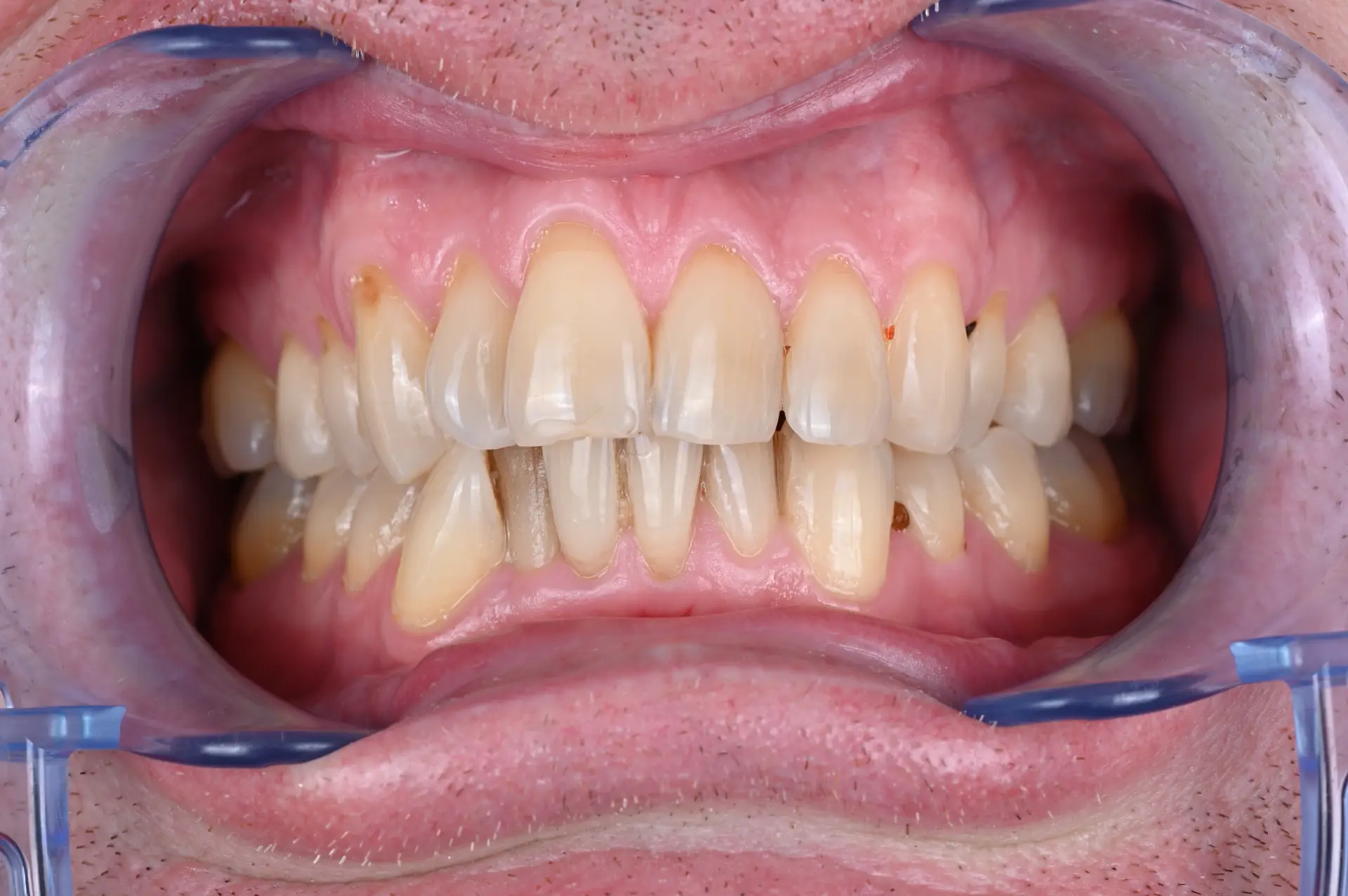
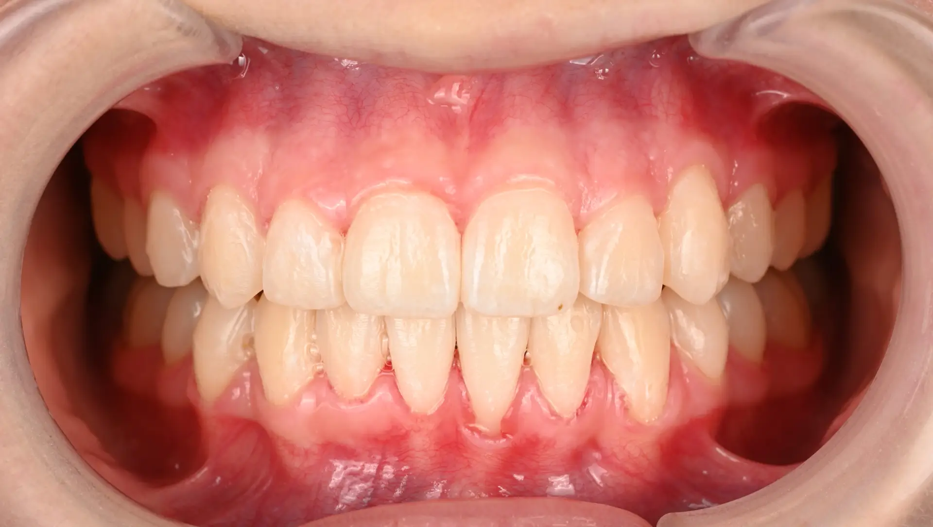
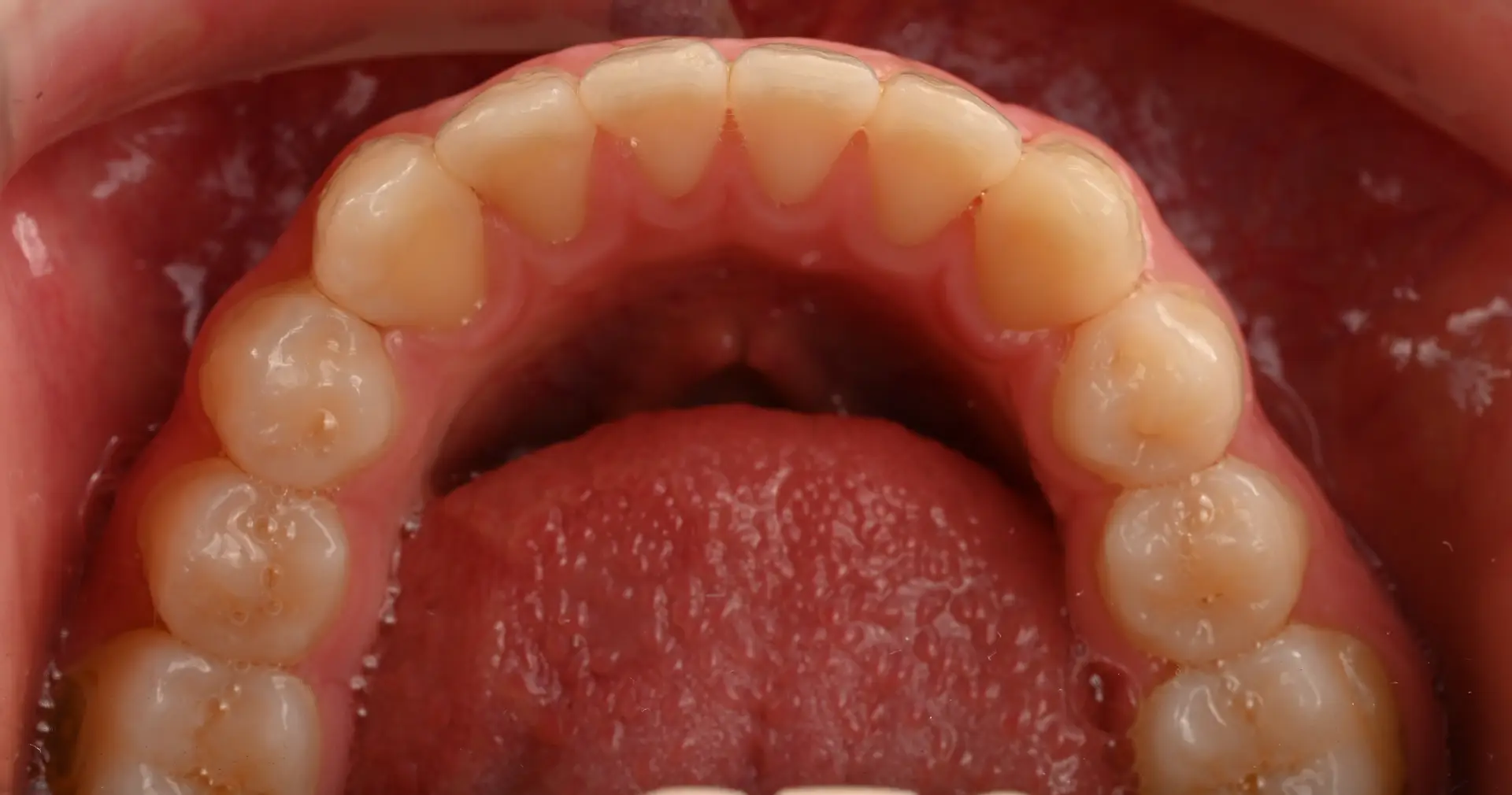
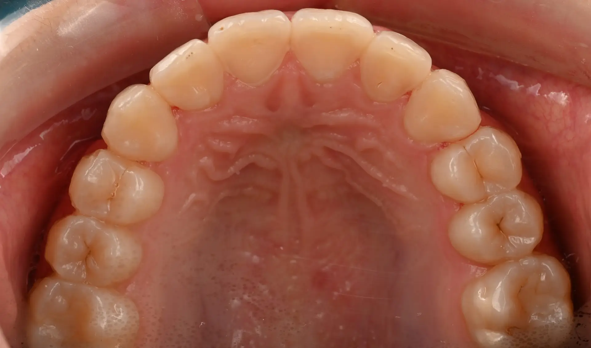
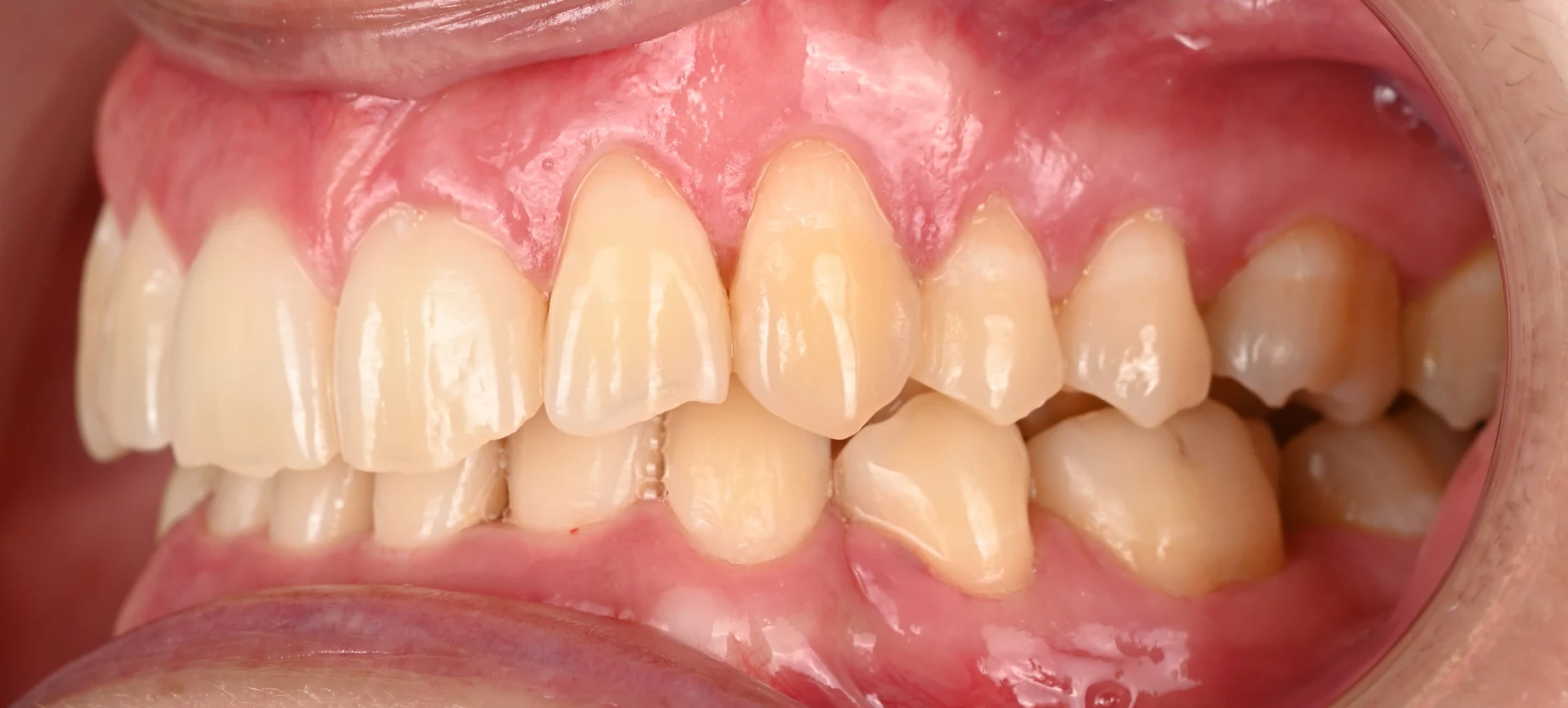
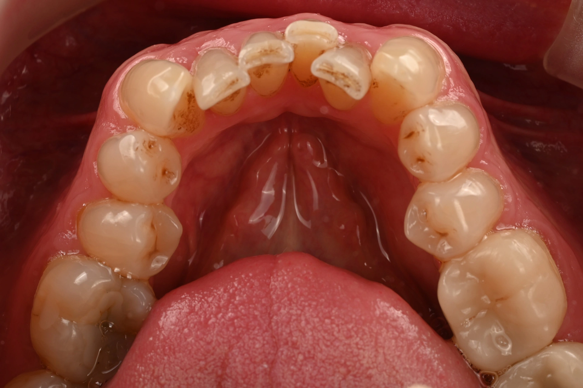
After
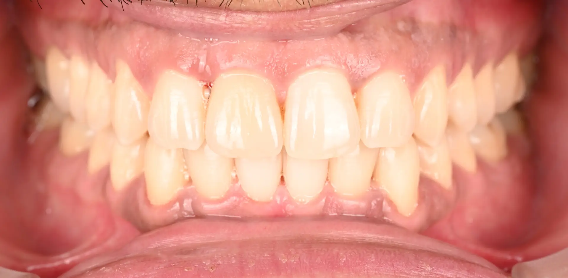
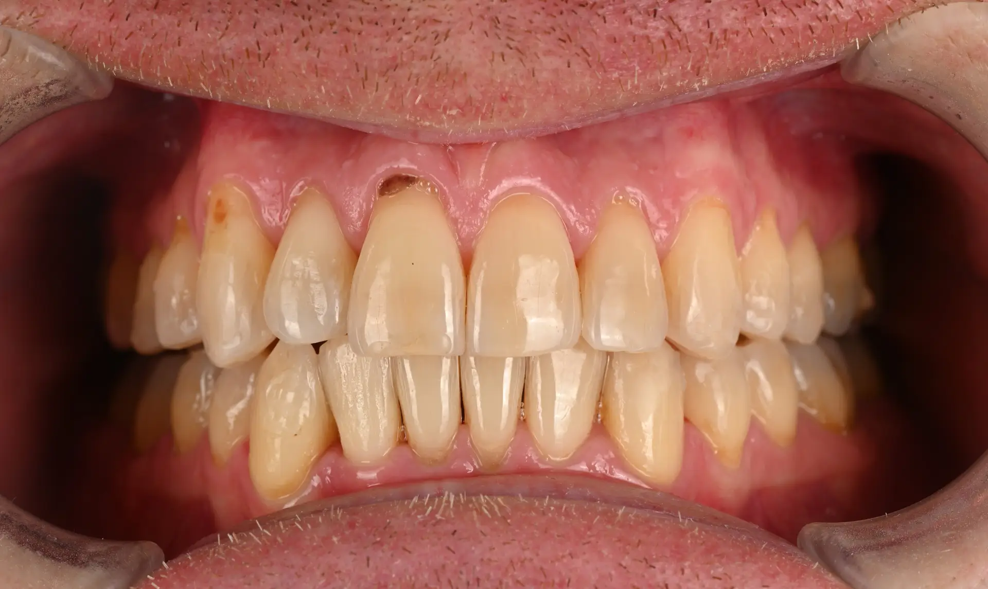
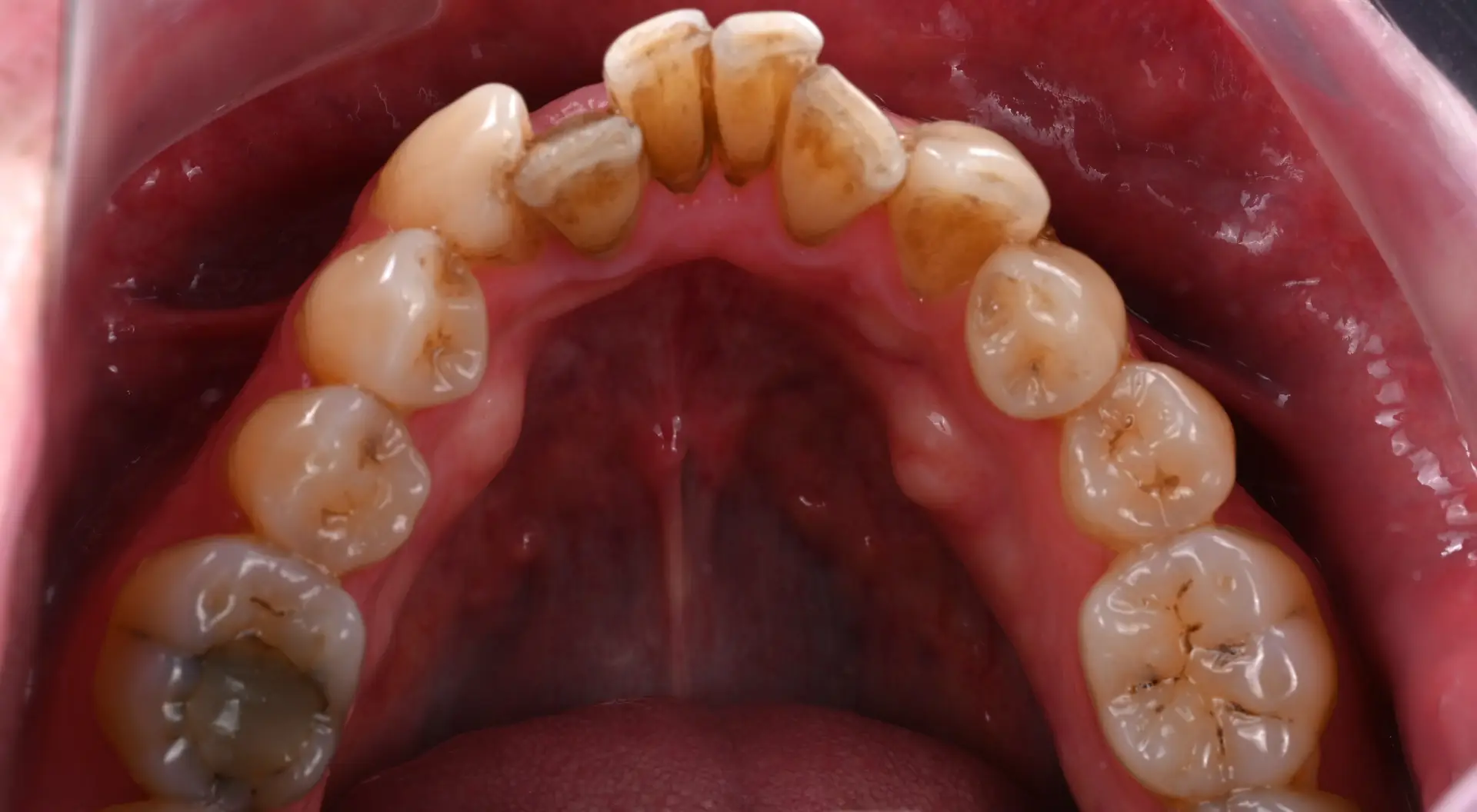
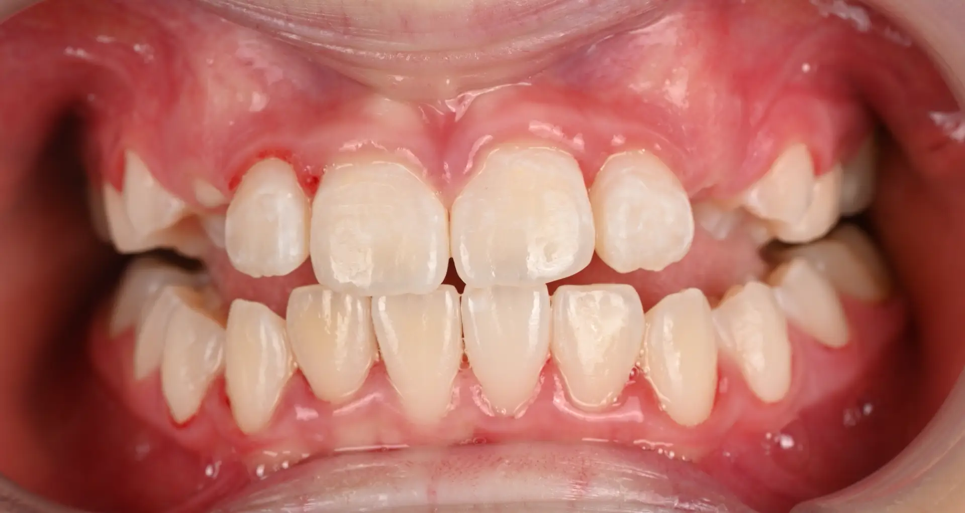
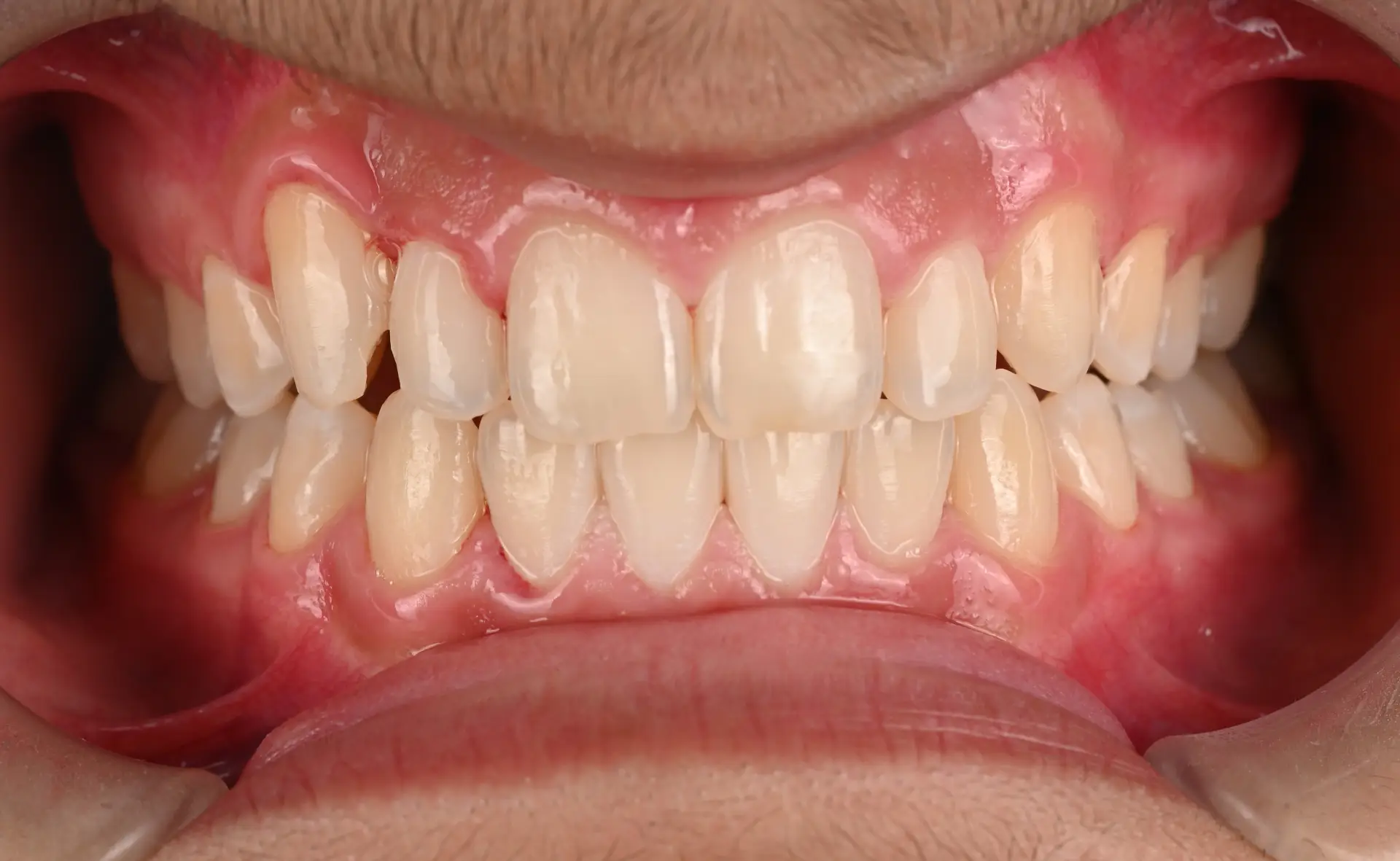
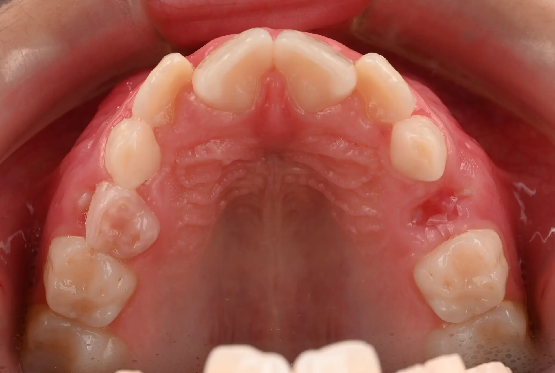
Before


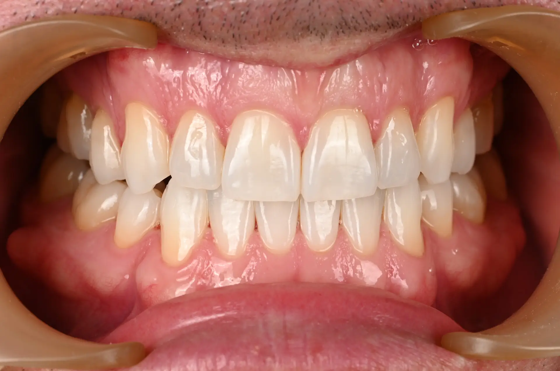
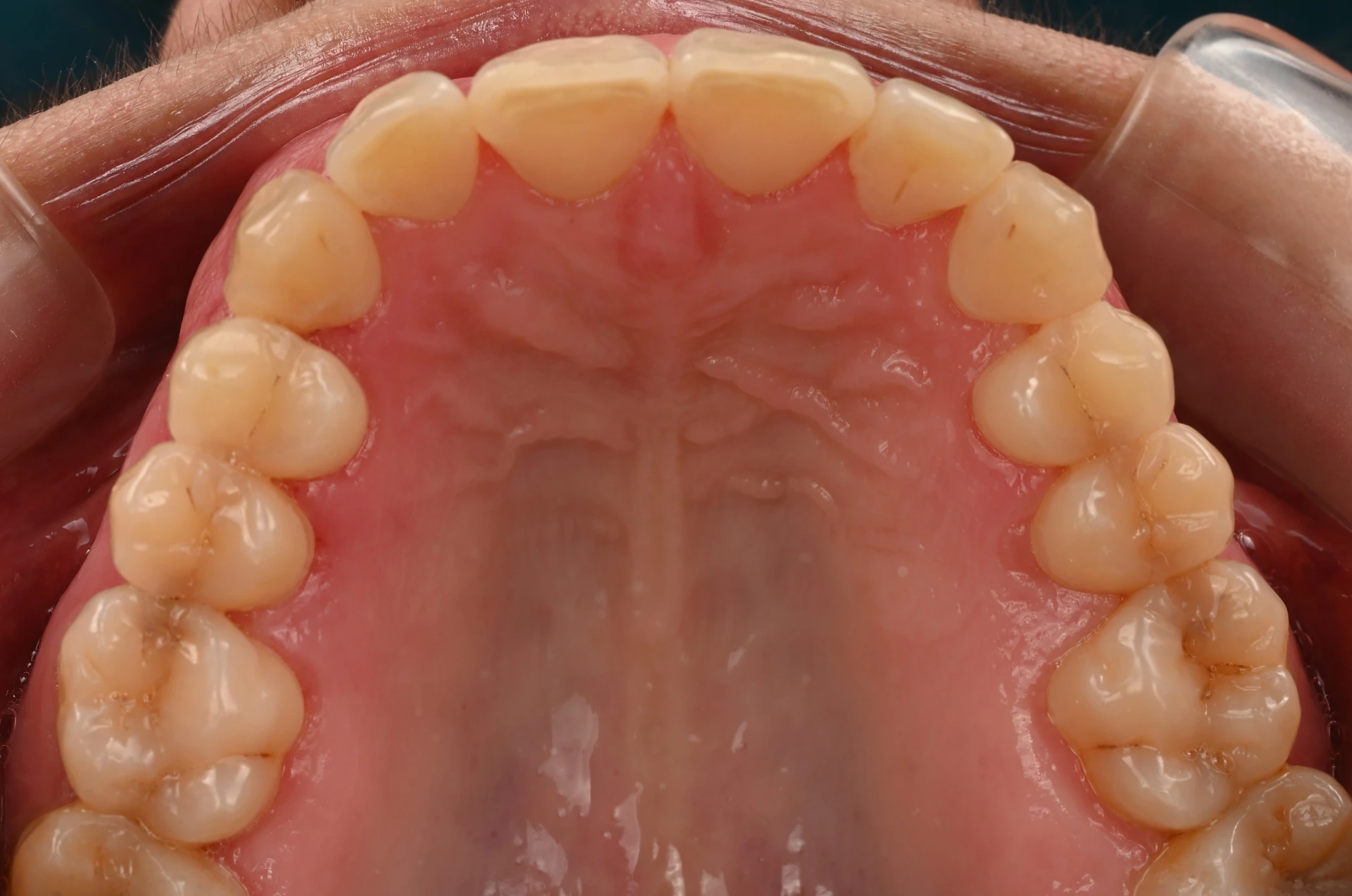
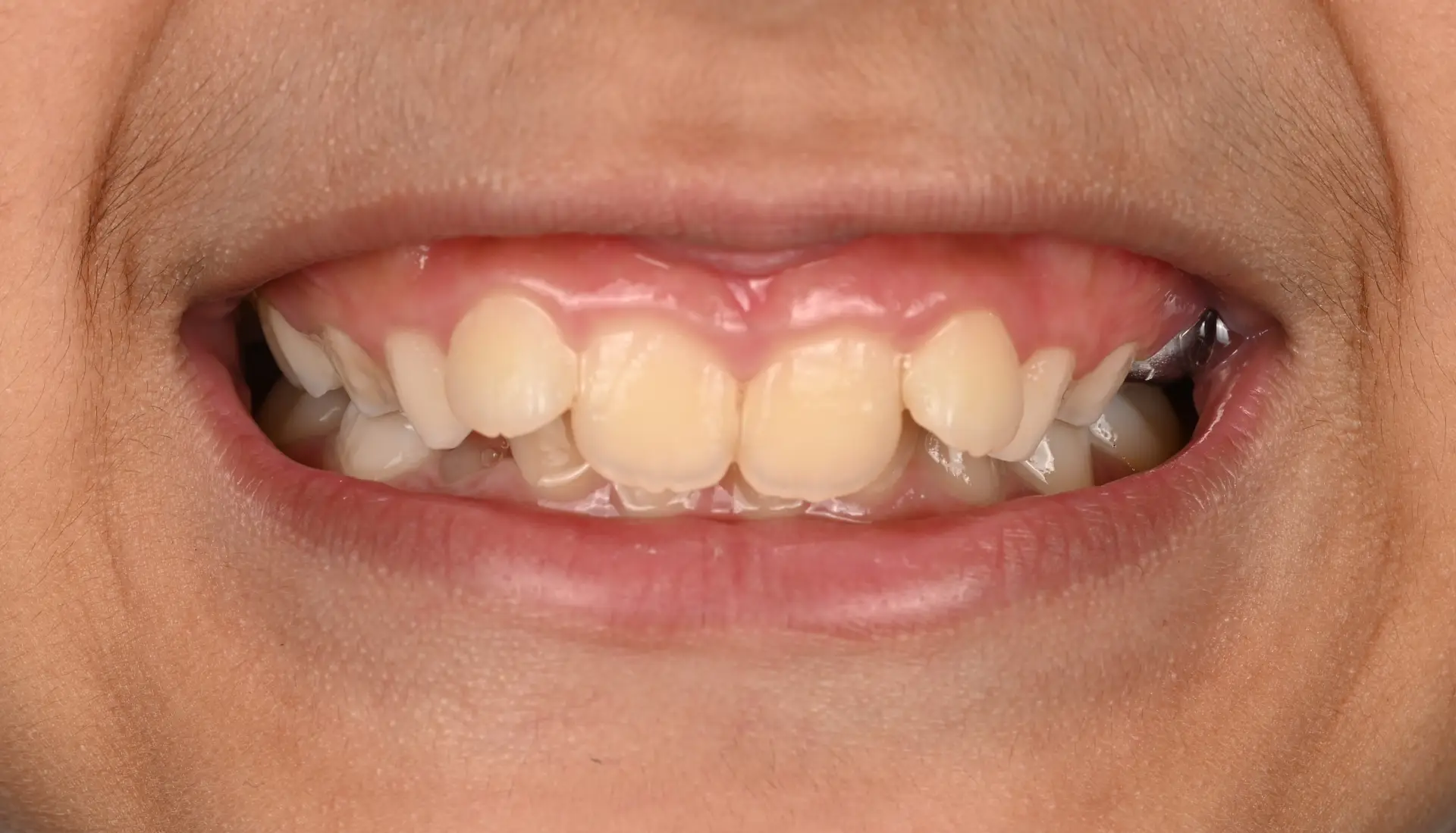
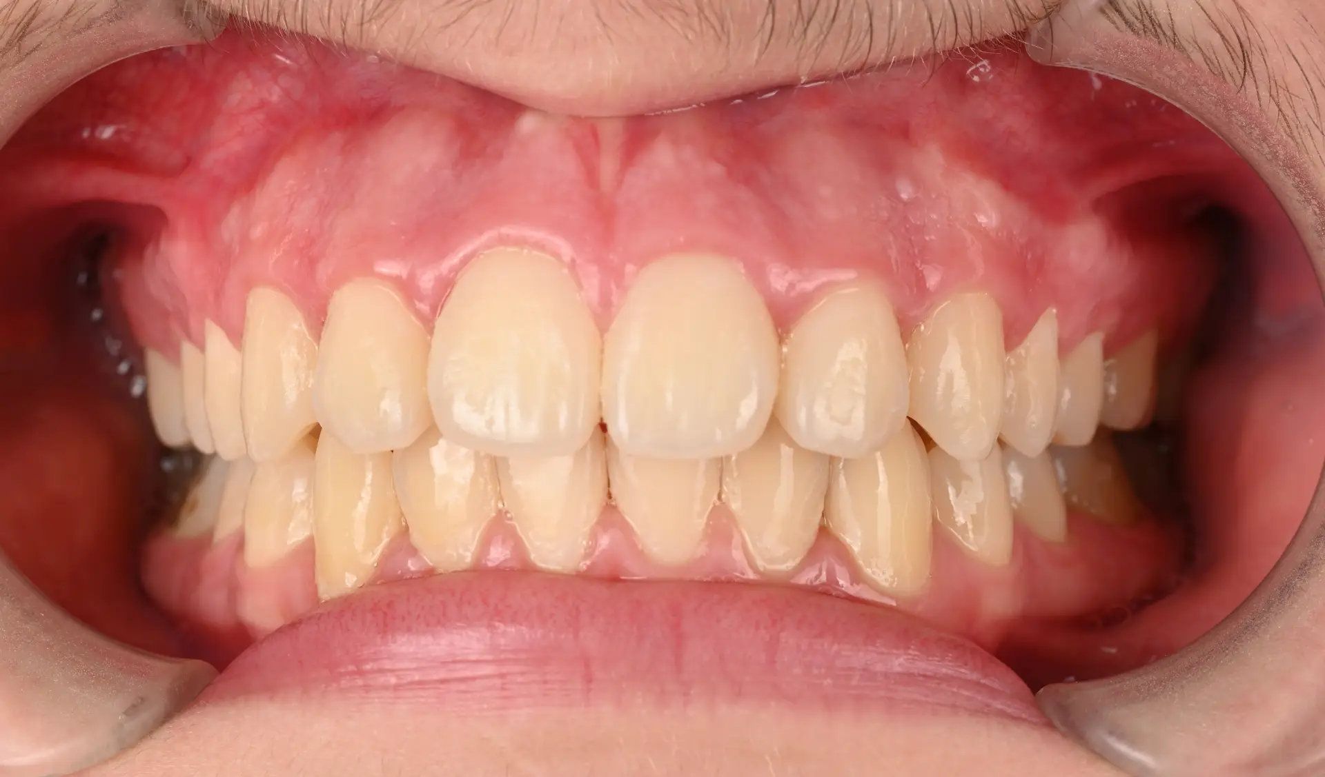
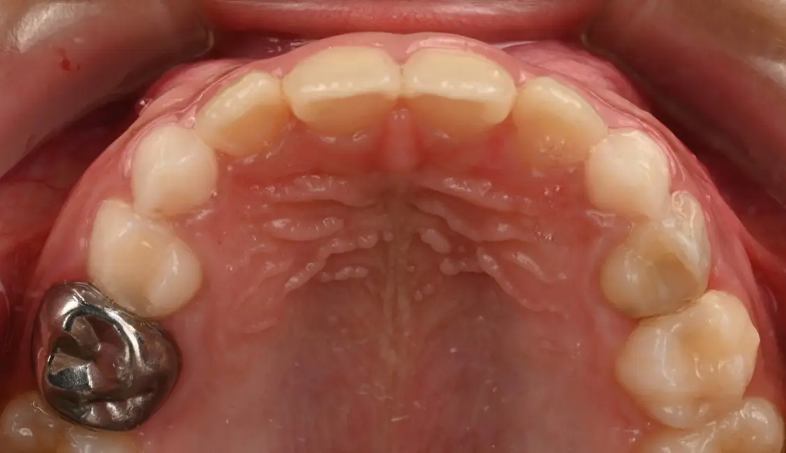
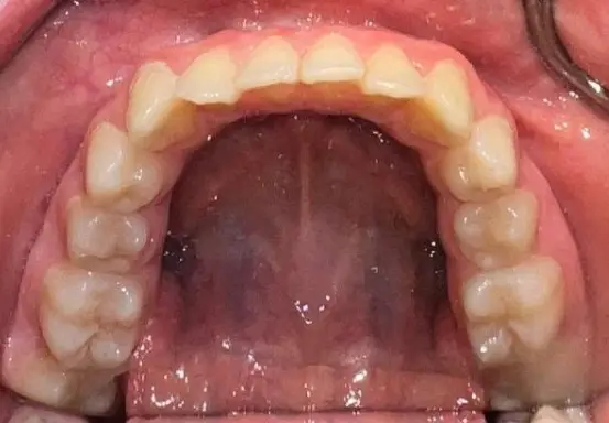
After
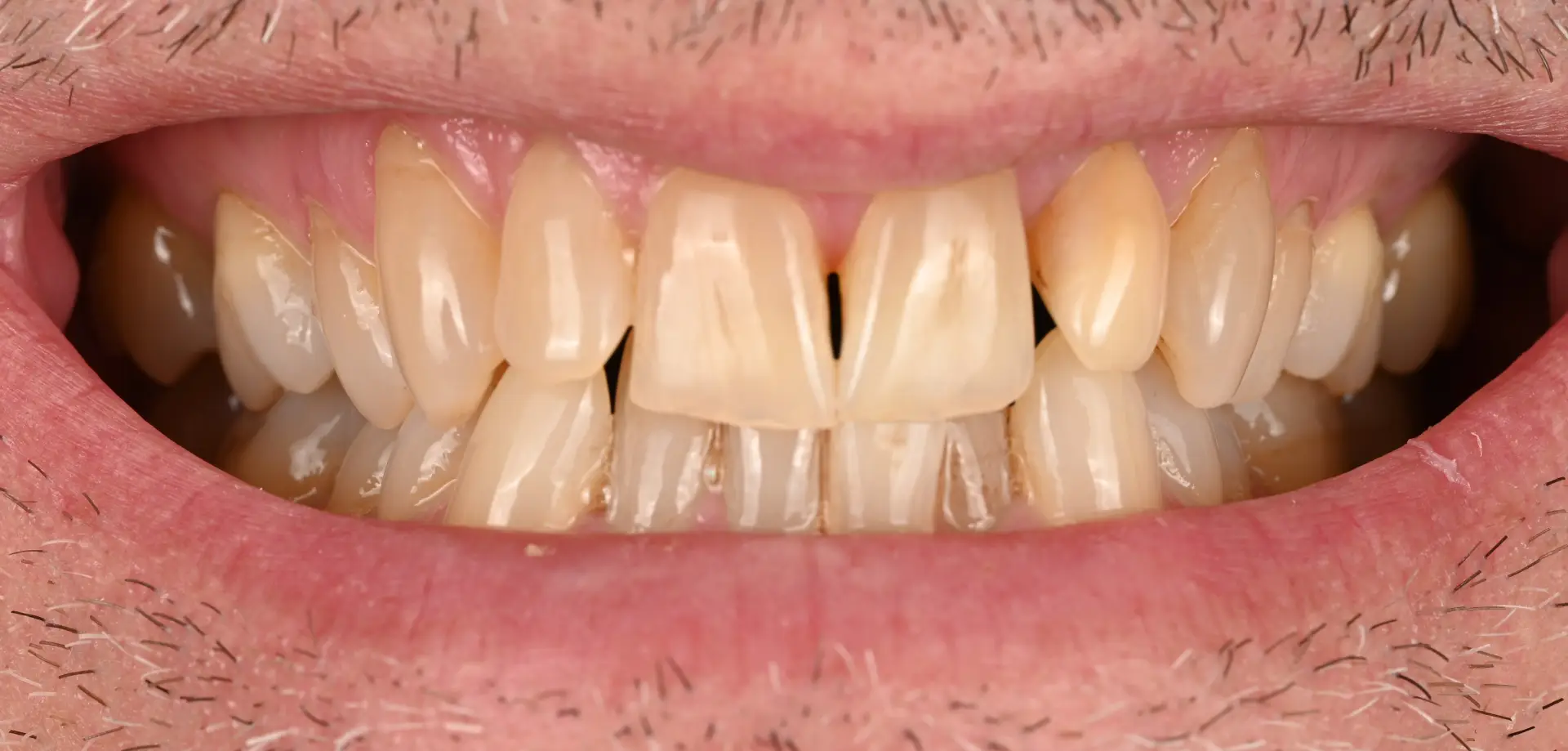
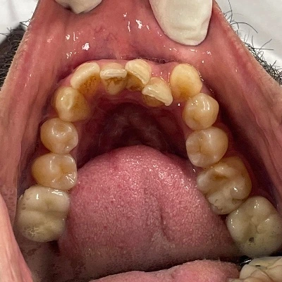
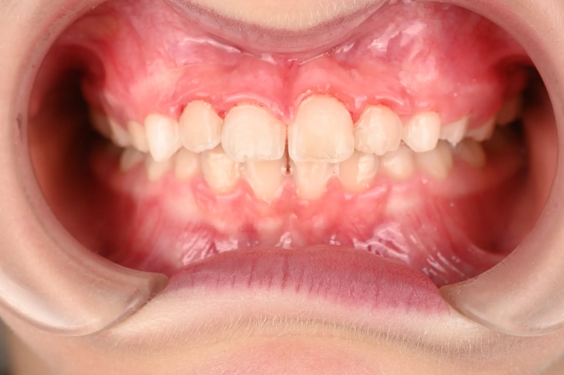
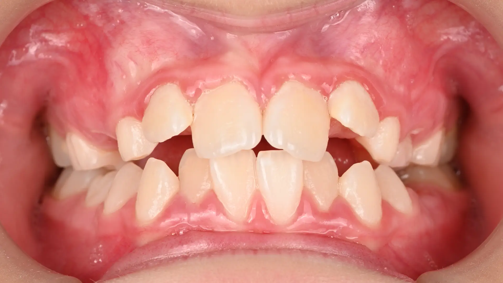
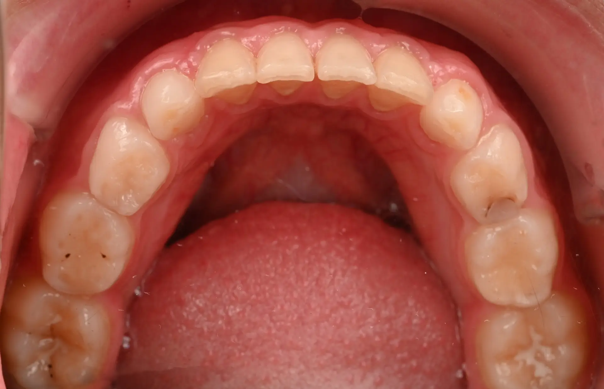
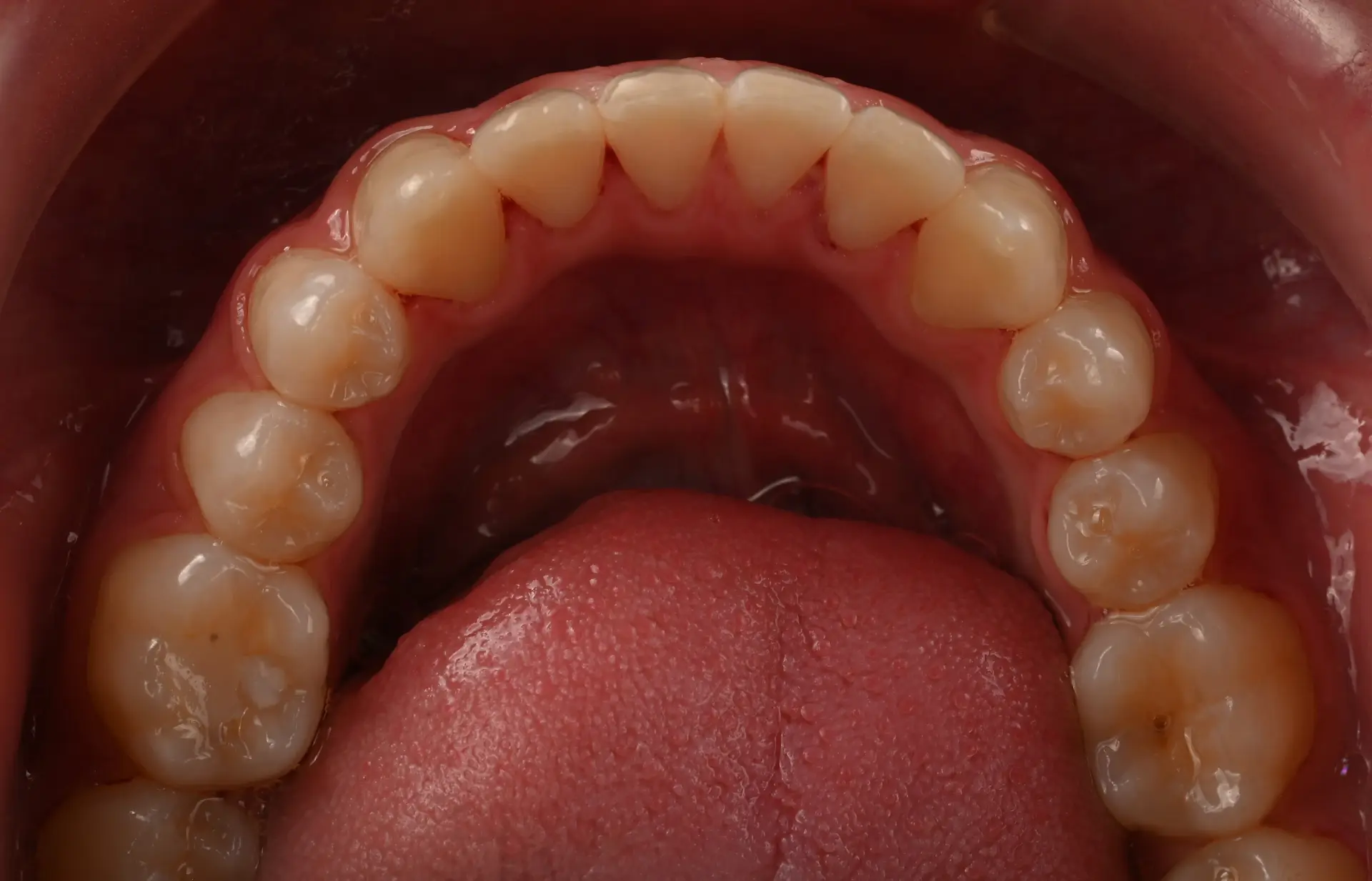
Before


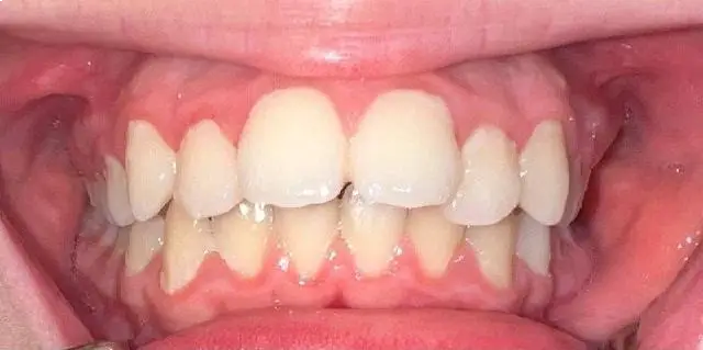
After
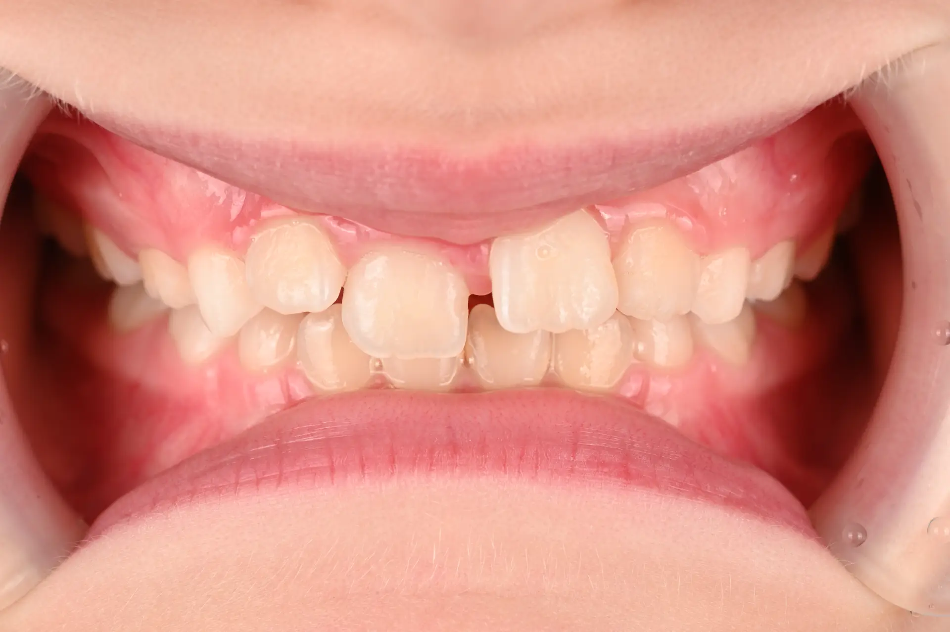
Before


After
Before


After
Before


After
Before


After
Before


After
Before


After
Before


After
Before


After
Before


After
Before


After
Before


After
Before


After
Before


After
Before


After
Before


After
Before


After
Before


After
Before


After
Before


After
Before


After
Before


After
Before


After
Before


After
Before


After
Before


After
Before


After
Before


After
Before


After
Before